ココリコ遠藤章造、次男手術から1ヶ月 糸で縫われた経過写真を妻が公開
2026.03.12 13:18
views
お笑いコンビ・ココリコの遠藤章造の妻・雅美さんが3月12日までに、オフィシャルブログを更新。次男の過剰歯抜歯手術の術後の経過を報告した。
遠藤章造の妻・雅美さん、次男の術後経過報告
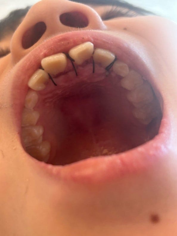
1月に、次男が過剰歯抜歯の手術を受けたことを明かしていた雅美さんは、「次男君の過剰歯手術から約1ヶ月が経ちました!術後検診に行ってきたら経過も順調とのことで一安心」と術後の経過を報告。術後の口の中の写真を公開し、「手術後はこんな感じで糸で縫われていて…歯茎縫うってヤバいわ…って、パパや私が震えていたけど 次男君は、一度も痛がることなく順調でした!」と記した。医師からは「前歯の裏側の過剰歯が無くなっても周りの永久歯の生え方によっては前歯がハの字に広がったままになってしまう可能性が高い」と言われたそうで、「次は、矯正の相談に行かなきゃだわ」「私が子供の頃は数人が矯正してるくらいだったけど最近、小学生で矯正してる子多い気がする!そして、費用を聞くと100万越えとか言うから飲んでた飲み物吐き出すくらいビックリした記憶がある!うちの子、どうしようかなぁ」と今後の矯正についてもつづっている。
遠藤章造の次男の術後経過報告に反響
この投稿に、「順調で良かった」「次男くん頑張りましたね」「心配だったでしょうね」などの声が上がっている。遠藤は2002年、タレントの千秋と結婚し長女を授かるが2007年に離婚。2015年12月、タレントの関根勤の元マネージャーの女性・雅美さんと再婚し、2016年に長男、2017年に次男が誕生した。(modelpress編集部)
【Not Sponsored 記事】
関連記事
「ニュース」カテゴリーの最新記事
-
娘の顔出しショットが話題・織田信成、美人妻と密着する幸せあふれる夫婦ショットに反響「見ているこちらもhappy」ABEMA TIMES -
水溜りボンド・カンタ、結婚報告の当日にチャンネルが乗っ取られるらいばーずワールド -
6男7女15人大家族「うるしやま家」母親・佳月さん(49)、家族に作った“時短手抜き”ワンプレートごはん披露ABEMA TIMES -
自宅キッチンを公開した高岡早紀(53)、息子が作った手料理などが並ぶ“豪華風”食卓に反響「完全にお店かと思ったんだけど…」ABEMA TIMES -
こだわりが詰まった自宅が話題 長谷川京子(47)、魚がメインのお弁当を公開ABEMA TIMES -
あましん、麦茶「ONICHA」3種飲み比べ、「全部麦茶」の先に見えた小さな奇跡らいばーずワールド -
Snow Man、新曲生パフォーマンス =LOVE・ONE N’ ONLYらも登場【4月30日放送「STAR」出演アーティスト】モデルプレス -
3児の母・近藤千尋、オム焼きそば弁当公開「断面美に見惚れる」「一気に華やかになる」の声モデルプレス -
くわばたりえ、食事改善で10kg以上の減量に成功!衝撃的なビフォーアフターに反響「励みになります」「シュッとされてますね」ABEMA TIMES

