ニュース
トピックス
ニュース
インフルエンサー
海外
インタビュー
その他
モデルプレスの記事一覧
他社の提供記事一覧
提供元一覧
スタイル
ファッションニュース
ファッション
ダイエット
美容
エンターテイメント
ドラマニュース
音楽
映画
テレビ
韓国エンタメ
ディズニー情報
NFT
コラム
コラム
恋愛占い
ライフ
トラベル
グルメ
結婚
ママ
ビジネス
スペシャル
経営者
特集
ランキング
ニュースランキング
人物ランキング
雑誌ランキング
画像ランキング
ドラマ
人物&雑誌
人物一覧
雑誌ROOM
女子旅プレス
トップページ
>
ニュース
>
ニュース
>
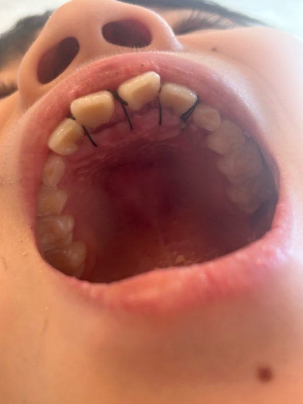
ココリコ遠藤章造、次男手術から1ヶ月 糸で縫われた経過写真を妻が公開
ココリコ遠藤章造、次男手術から1ヶ月 糸で縫われた経過写真を妻が公開
2026.03.12 13:18
views
お笑いコンビ・ココリコの遠藤章造の妻・雅美さんが3月12日までに、オフィシャルブログを更新。次男の過...
記事の続きを読む
遠藤章造の次男/ココリコ遠藤嫁オフィシャルブログより
前の写真へ
記事に戻る
次の写真へ
あなたにおすすめの記事